Gelbe Beißerchen sind nicht unbedingt schlechtDas verrät die Verfärbung eurer Zähne über eure Gesundheit

Bitte lächeln!
Wer von uns hätte nicht gerne ein strahlend-weißes Lächeln. Doch die meisten von uns haben wohl mit der einen oder anderen Verfärbung auf ihren Beißerchen zu kämpfen. Wir wissen, welche Zahnfarbe völlig in Ordnung ist – und bei welcher ihr sofort zum Arzt solltet.
„Ihre Zähne können frühe Warnsignale sein!” So sollte ein gesunder Zahn aussehen
Zahnseide, Zahnbürste, Zahnreinigung, Zahnarztbesuche – unseren Beißerchen bekommen richtig viel Aufmerksamkeit von uns. Kein Wunder, kranke Zähne sehen nicht nur unästhetisch aus, sie bereiten uns auch Schmerzen und können ein Hinweis für andere Baustellen in ihrem Körper sein.
Ein gesunder Zahn sollte übrigens hell, glatt und fest sein, das Zahnfleisch hellrot und weich. Beim Kauen oder anderen Berührungen an den Zähnen sollte es kein Schmerzempfinden geben – auch nicht bei sehr kalten oder heißen Gerichten!
Lese-Tipp: Endlich geklärt: Zähne putzen vor oder nach dem Frühstück?
Wenn sich eure Zähne verfärben, dann sagt das aber viel mehr über euren Körper aus, als ihr denkt. „Ihre Zähne können frühe Warnsignale sein, wenn Sie wissen, worauf Sie achten müssen“, sagte Allen Zhang, Zahntechniker und Gründer von ProDENT bei der DailyMail. Doch welche Erkrankung hängt mit welcher Verfärbung zusammen?
Video-Tipp: Knack statt Zisch! An dieser Dose beißt sie sich die Zähne aus
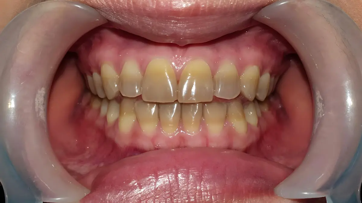
Anzeige:Gelbe Zähne sind nicht nur ein Hinweis auf Kaffee und Kippen
Fangen wir mit der wohl häufigsten Zahnverfärbung an: gelb. Manche Menschen haben von Natur aus gelbliche Zähne, andere rauchen exzessiv, wieder andere trinken sehr viel Kaffee.
Zhang sagt jedoch, dass eine gelbe Verfärbung auf Leberschäden hinweisen kann! Wenn die Leber nämlich nicht richtig arbeite, komme es zu einer Ansammlung von Bilirubin, dem gelben Farbstoff der Galle. Und der zeige sich auch an den Zähnen.
Lese-Tipp: Süßigkeiten? Von wegen! DIESE Lebensmittel schaden euren Zähnen noch mehr
Leberschäden entstehen laut der Bundesärztekammer vor allem durch zu viel Alkohol, Diabetes oder Viren wie Hepatitis.
Ein grauer Zahn ist ein toter Zahn – und Hinweis auf eine weit verbreitete Autoimmunkrankheit
Ein grauer Zahn ist laut Zhang abgestorben. Das kann durch einen Unfall, mangelnde Zahnhygiene oder Entzündungen kommen. Doch auch Zöliakie könne die Zahnschmelzbildung stören und solch graue Verfärbungen verursachen, sagt Zhang.

Diese Art von Zahndefekt sei leider irreversibel, fügt er hinzu. Heißt, je nachdem, welcher Zahn abgestorben ist, kann er entfernt werden oder durch einen Veneer überdeckt werden.
Braune Flecken und Streifen sollte man nicht ignorieren!
Die kleinen braunen Flecken auf den Zähnen verbinden viele von uns wohl mit Karies. Und das stimmt auch, sagt Zhang. Solltet ihr allerdings braune Streifen auf den Beißerchen haben, deute das auf eine schwere Fluorose hin – also eine Überdosierung von Fluorid.

Im Frühstadium äußert die sich durch kalkartige, weiße Flecken auf den Zähnen, im weiteren Verlauf verursacht sie jedoch tiefe Rillen in den Zähnen, die sich verfärben und besagte braune Streifen bilden. Das Fluorid steckt meist in den Zahnpasten selbst, die übermäßig viel genutzt werden.
Lese-Tipp: Zähne putzen mit Natron: Gute oder schlechte Idee?
Eine Fluorose ist, ähnlich wie der abgestorbene Zahn, ebenfalls eine dauerhafte Erscheinung. Die weißen Flecken sind nicht weiter schlimm und können ebenfalls mit Veneers abgedeckt werden. Braune Streifen wiederum können langfristig eure Zahngesundheit schädigen und zu einer Überempfindlichkeit eurer Zähne führen.
Mit Streifen geht es weiter! Doch was, wenn die grau und blau sind?

Ja, richtig gelesen. Ihr könnt auch graue und sogar blaue Streifen auf euren Zähnen entwickeln. Die gute Nachricht hierbei: Das Grau bedeutet in diesem Fall nicht, dass eure Zähne absterben. Die schlechte Nachricht ist jedoch, dass ihr mit den Streifen leben müsst.
Denn die stammen noch aus euer Kindheit und sind auf einen übermäßigen Gebrauch von Medikamenten, vor allem von Antibiotika, zurückzuführen. Die dringen während der Einnahme tief in die sich entwickelnden Zähne ein, so Zhang.
Schwarze Zähne? Dann könntet ihr vergiftet sein!
Zuerst einmal: „Eine dunkelschwarze Verfärbung kann auf fortgeschrittene Karies oder abgestorbenes Pulpagewebe hinweisen“, sagt Zhang. Das Pulpagewebe ist das Weichgewebe des Zahns und liegt im Zahninneren.
Manchmal kann ein schwarzer Zahn jedoch auch auf eine Vergiftung hinweisen – und zwar mit Schwermetallen! Das sei selten, so Zhang, aber: Bis Anfang 2025 durften Zahnärzte in Deutschland noch Amalgam als Füllmittel in Zähnen nutzen. Das Gemisch enthält Kupfer, Zinn, Silber und das hochgiftige Quecksilber. Bei Zahnfüllungen und Brücken, die bereits seit Jahren im Mund liegen, können Partikel der Füllung in den Körper wandern und eure Zähne schwarz färben.
Kein Wunder, dass die Zahnärzte nun nach und nach alle Amalgam-Füllungen durch Kunststoff, Gold und Keramik ersetzen.
Gefleckte Zähne deuten auf eine genetische Störung hin
Wer verschiedene Flecken auf den Zähnen hat und die wie gesprenkelt aussehen, kann Amelogenesis imperfecta haben. Die genetische Störung betrifft nur den Zahnschmelz, erklärt Zhang. Der sei zu weich und damit anfällig für Schäden. Immerhin, die Störung ist äußerst selten und kommt vor allem in Schweden vor, wo eines von 700 Kindern mit Amelogenesis imperfecta geboren wird.
„Ihre Zähne können verraten, was Ihr Körper Ihnen noch nicht gesagt hat“, sagt Zhang abschließend. „Verfärbungen frühzeitig mit den richtigen Werkzeugen zu erkennen, ist eine der einfachsten Möglichkeiten, Ihre Gesundheit langfristig zu schützen.“
Wenn ihr Verfärbungen auf euren Zähnen findet, solltet ihr die zuallererst mit eurem Zahnarzt besprechen. Der wird euch nicht nur sagen können, was es mit den etwaigen Flecken und Streifen auf sich hat, sondern auch, ob sie gefährlich sind und ganz wichtig: wie ihr sie wieder loswerdet.
































