Schuld war ausgerechnet der Frühstücks-SpeckBandwurm-Larven mitten im Hirn - der Patient dachte, es sei Migräne!

Er dachte, es sei Migräne!
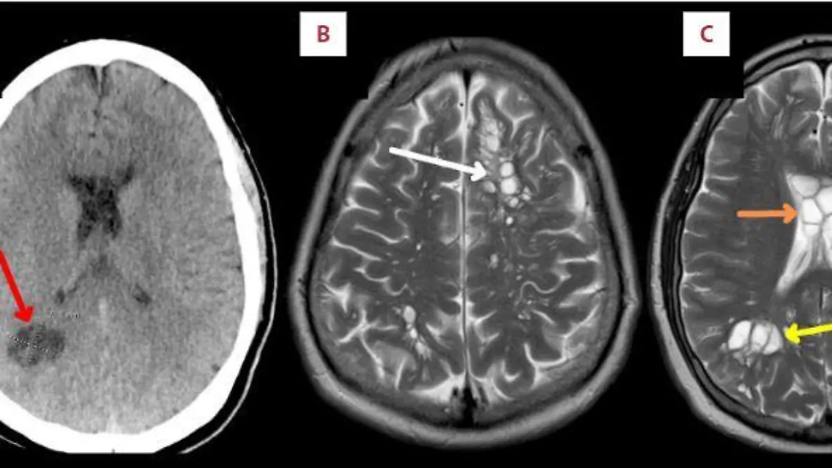
Über Monate klagte ein Mann aus Florida über Kopfschmerzen. Die Aufnahmen einer Computer-Tomographie zeigten schließlich den ekligen Grund dafür. Im Gehirn des Amerikaners hatten sich die Larven eines Schweinebandwurms eingenistet.
Leben, Liebe, Lifestyle – auf RTL.de findest du alles, was deinen Alltag leichter, besser und schöner macht. Mach uns zu deiner Startseite, um mehr als andere zu wissen!
Vermeintliche Migräneattacken wurden durch Medikamente nicht mehr besser
Die Krankenakte des Mannes ist lang: Immer wieder leidet er unter Migräneattacken, hat Diabetes Typ zwei und kämpft mit krankhaftem Übergewicht. Doch vor rund vier Monaten habe sich sein Kopfschmerz verändert, berichten Ärzte im Fachmagazin „American Journal of Case Reports“. Die Schmerzattacken seien schlimmer geworden und ließen sich mit den bekannten Schmerzmitteln nicht mehr behandeln.
Schließlich ging der US-Amerikaner in ein Krankenhaus. Auf den CT-Bildern erkennen die Ärzte schließlich den Grund für die anhaltenden Schmerzen. In beiden Gehirnhälften hatten sich die Larven des Schweinebandwurms eingenistet. Mediziner sprechen von einer Zystizerkose.
Lese-Tipp: Tausende Tote! Arzt warnt vor gefährlichem Wirkstoff in Schmerzmitteln
Im Video: Horror-Parasit nistet sich im Auge eines 21-Jährigen ein
Anzeige:Wie infiziert man sich mit einem Schweinebandwurm?
In westlichen Ländern infizieren sich Menschen nur sehr selten mit dem Schweinebandwurm. Möglich ist das aber durch den Verzehr von verunreinigtem und nicht ausreichend gegartem Schweinefleisch. Im Fall des Amerikaners ist laut der Ärzte der nicht durchgebratene Speck zum Frühstück Überträger der Parasiten. Ansiedeln können die sich dann überall im Körper.
Der Mann wurde mit einem Entwurmungsmittel und entzündungshemmenden Medikamenten behandelt. Nach zwei Wochen ging es ihm besser. Von Mensch zu Mensch übertragen kann sich der Schweinebandwurm nur über eine Infektion im Darmbereich und mangelnde Hygiene im Umgang damit. (lra)
































