Flüssigkeits- oder Luftableitung aus dem BrustkorbGesundheitslexikon: Thoraxdrainage (Pleuradrainage)

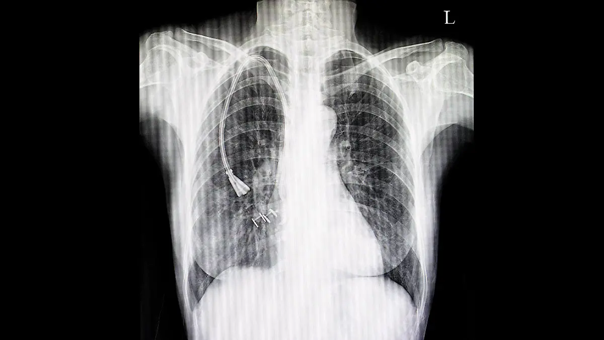
Eine Thoraxdrainage ist ein System mit dem Luft oder verschiedene Flüssigkeiten, die sich vermehrt in Brustkorbhöhlen gesammelt haben, nach draußen abgleitet werden. Sie wird häufig im Bereich der Pleurahöhle angewendet, die den Spalt zwischen dem Brust- und dem Rippenfell darstellt. Aus diesem Grund werden die Begriffe Thorax- und Pleuradrainage oft synonym gebraucht, was nicht ganz korrekt ist, da auch Drainagen des Herzbeutels und des Mediastinums vorkommen.
Anwendungsgebiete einer Thoraxdrainage
Das Lungenfell umhüllt die Lunge, während das Rippenfell den Brustkorb an der Innenseite auskleidet. Die beiden bindegewebigen Schichten liegen aneinander und sind nur durch einen dünnen flüssigkeitsgefüllten Spalt voneinander getrennt. Die Flüssigkeit gewährleistet einerseits die reibungsarme Verschieblichkeit der beiden Pleurablätter und ist andererseits für die Haftung bei der Ausdehnung des Brustkorbs verantwortlich. Dadurch wird die Lunge, die sich nicht aktiv ausdehnen kann, bei der Einatmung geweitet. Gelangt Luft, Blut, Sekret oder Eiter durch Erkrankungen oder Verletzungen in den Pleuraspalt kann die Funktionsfähigkeit und die Kapazität der Lunge beeinträchtigt werden. Im Extremfall kann sie sogar kollabieren. Eiweißmangelsyndrome, eine Linksherzinsuffizienz und Nierenschädigungen können solche Flüssigkeitsansammlungen verursachen, aber auch Tumore oder Metastasen. Luft oder Blut kann durch Verletzungen wie offene Rippenbrüche oder Operationsschäden in den Pleuraspalt geraten. Eiteransammlungen entstehen, wenn Bakterien in den Raum zwischen den Pleurablättern gelangen und eine Infektion hervorrufen. Das können Erreger der Tuberkulose oder einer Lungenentzündung sein, aber auch solche, die bei offenen Verletzungen durch mangelnde Hygiene ins Innere gelangen.
Wie ist das Drainagesystem zusammengesetzt?
Eine Thoraxdrainage besteht grundsätzlich aus einem Schlauch, der in die flüssigkeits- oder luftgefüllte Höhle eingeführt wird, und angeschlossenen Kammern, die zum Absaugen und Auffangen der Substanzen bereitstehen. Das ursprüngliche Einkammersystem bestand aus einer Flasche, in die die Flüssigkeit mittels des Drainageschlauches abgeleitet wurde. Der Sog wurde durch den Unterdruck erzeugt, der durch den in Flüssigkeit eingetauchten Schlauch und die Schwerkraft entstand. Beim Zweikammersystem kam eine zweite Flasche hinzu, sodass die Abgabe der Flüssigkeit und die Sogentwicklung in getrennten Räumen stattfinden konnten. Das heute am häufigsten eingesetzte System besteht aus drei Kammern, bei dem in der dritten Flasche zusätzlich die Stärke der Sogentwicklung kontrolliert wird. Die Pumpleistung wird durch ein Vakuum erzeugt, dass angeschlossene Vakuumanlagen oder Druckluftwandler erzeugen. Die Funktion der Pumpen kann auch umgekehrt werden, um zum Beispiel Antibiotikalösungen ins Innere von Höhlen zu transportieren, die mit Bakterien befallen sind. Es gibt auch aufwendige digitale Systeme, in denen alle Funktionen automatisch gesteuert und kontrolliert werden. Sie sind zwar teuer und aufwendig, bieten aber den Vorteil, dass Alarmsysteme die Sicherheit der Patienten gewährleisten und gleichzeitig Vitalfunktionen gemessen und beobachtet werden können.
Drainage an an mehreren Stellen angelegt werden
Eine Pleuradrainage kann an verschiedenen Stellen angelegt werden, es gibt aber zwei bevorzugte Zugangswege. Die Monaldi-Lokalisation befindet sich mittig unterhalb des Schlüsselbeins zwischen der zweiten und dritten Rippe, die Bülau-Lokalisation unterhalb der Achselhöhle in einem Zwischenraum im Bereich der vierten bis sechsten Rippe. Für den Zugang werden die Haut und das Brustfell punktförmig eröffnet und anschließend der Schlauch mit einer metallenen Führungsschiene in die Pleurahöhle eingeführt. Nach Entfernung des Metallstabes wird der verbleibende Kunststoffschlauch an der Haut befestigt, um ein Verrutschen zu verhindern, und an das Absaugsystem angeschlossen.
Wichtiger Hinweis: Dieser Artikel kann einen Besuch beim Arzt nicht ersetzen. Er enthält nur allgemeine Hinweise und darf daher keinesfalls zu einer Selbstdiagnose oder Selbstbehandlung erangezogen werden.


