Wie konnte das passieren?Frau (51) ins Krankenhaus eingeliefert - mit DIESEM Hühnerknochen im Po!

Eine Fischgräte oder einen kleinen Hühnerknochen verschluckt hat vermutlich jeder schon mal. Die kratzt dann unter Umständen im Hals, weiter schlimm ist das aber meist nicht. Bei einer Frau aus Kuwait hatte das Verschlucken eines Hühnerknochens nun drastischere Folgen. Denn: Sie bemerkte den fünf Zentimeter langen Knochen erst, als er in ihrem Hintern stecken blieb!
Lese-Tipp: 18-Zentimeter-Kabel aus Penis entfernt - Ärzte fassungslos!

Knochen ragte aus dem Po
Während es sich viele vermutlich vor allem sehr schmerzhaft vorstellen, einen fünf Zentimeter langen, V-förmigen Hühnerknochen erst zu verschlucken, dann durch die Speiseröhre, durch den Magen und schließlich durch den Darm zu befördern, bemerkte die 51 Jahre alte Frau aus Kuwait offenbar erst beim Toilettengang, was ihr da zwischen die Zähne gekommen ist.
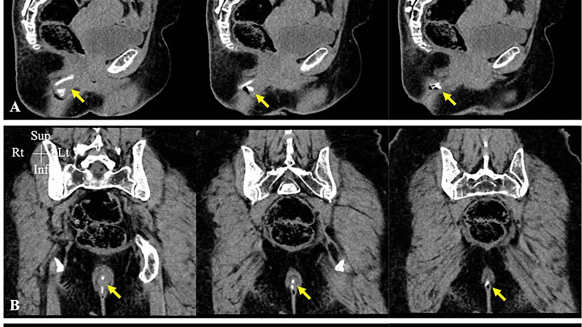
Zwar hatte es der knochige Übertäter fast geschafft, den Körper der Frau ohne Schaden zu durchqueren, am Ende verkeilte er sich aber so, dass er aus ihrem Po herausragte. Die Frau wurde kurzerhand ins Krankenhaus eingeliefert, wo eine Computertomographie (CT) schließlich die vollen Ausmaße ans Licht brachte: 5 x 2,5 x 3 cm groß war der Hühnerknochen, wie die medizinische Fachzeitschrift „Cureus“ berichtete.
Lese-Tipp: Durch Penis eingeführt! Springseil steckt in Blase eines Mannes (79) fest

Frau kaute ihr Essen nicht
Was für die 51-Jährige mehr als unangenehm gewesen sein dürfte, sei medizinisch gesehen extrem selten, heißt es in dem Bericht. Vor allem, dass der Knochen keinerlei innere Verletzungen verursacht hatte, sei ungewöhnlich.
Stellt sich noch die Frage, wie die Frau überhaupt so einen großen Knochen verschlucken konnte: Möglich sei dies nur durch ihre fehlenden oberen Backenzähne gewesen. Die 51-Jährige hatte sich dadurch offenbar angewöhnt, nicht richtig zu kauen, sondern ihr Essen schnell herunterzuschlucken. Dabei ist ihr wohl auch der fünf Zentimeter lange Hühnerknochen entgangen.
Lese-Tipp: Parasiten-Befall! Schüler hat faustgroße Zyste im Gehirn
Ende gut, alles gut
Von dem Übeltäter befreien konnte die Ärzte die Frau übrigens mithilfe eines betäubenden Gels. Eine Woche später waren keine bleibenden Schäden feststellbar. Der Frau wurde nun geraten, ihr Essen besser zu kauen und einen Zahnarzt aufzusuchen. (akr)
































