Womöglich der erste Fall seiner ArtPenisbruch beim Sex - warum Ärzte das SO noch nie gesehen haben

Autsch! Ein 40 Jahre alter Mann aus Großbritannien hat sich beim Sex den Penis gebrochen. Geschichten, die immer mal wieder ans Tageslicht kommen. Doch dieser Patient ist etwas ganz Besonderes. Denn der Bruch verläuft vertikal entlang des Gliedes – ein womöglich einzigartiger Fall!
Patient musste notoperiert werden
Laut einem aktuellen Bericht aus dem "British Medical Journal" ist dies der erste offiziell erfasste Fall dieser Art. Der unglückliche Patient erlitt demnach einen drei Zentimeter langen Riss entlang der Längsseite seines besten Stücks. In seinem Fall „beulte sich der Penis des Mannes am Perineum seines Partners“ – dem Bereich zwischen den Genitalien und dem Anus. Der Patient musste notoperiert werden.

Das "Knacken" blieb aus
Seine Erektion sei nicht schlagartig zurückgegangen, wie es bei gewöhnlichen Penisbrüchen passiert, sondern erst nach und nach abgeschwollen. Außerdem sei kein „knackendes Geräusch“ zu hören gewesen sein, das sonst bei horizontalen Frakturen auftritt. Ein weiteres häufiges Symptom ist das Rollen der Haut des Penis, was in diesem Fall auch nicht vorkam.
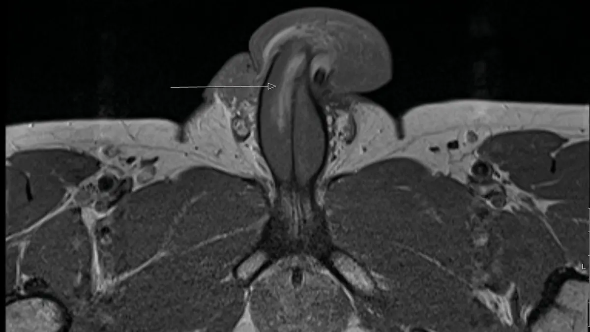
Dem Bericht zufolge wurde dann im Krankenhaus ein MRT durchgeführt und dabei stellte sich heraus, dass der Patient einen vertikalen Riss in der Bindegewebshülle am rechten Schwellkörper entlang eines Drittels seines Penisses erlitten hatte.
Sex nach sechs Monaten wieder möglich
Die Experten glauben, dass dies der erste Fall dieser Art ist, da alle früheren Fälle von Penisfraktur horizontal waren. Die Ärzte sagten nicht, in welcher Position sich der Patient befand, aber diese Art von Verletzungen treten am häufigsten in „Mann-oben“- oder „Doggystyle“-Positionen auf.
Der Mann wurde erfolgreich operiert und kann nun sechs Monate nach der Verletzung wieder Sex haben. "Dieser Patient konnte innerhalb von 6 Monaten nach der Verletzung seine sexuelle Aktivitäten wieder aufnehmen und erreichte Erektionen von der gleichen Qualität wie vor der Verletzung“, so die Ärzte. Ob der Mann künftig auf gewisse Stellungen verzichten wird, ist nicht bekannt.


