Krankheitsbedingtes Absterben von Zellen im menschlichen KörperGesundheitslexikon: Nekrose

Nekrose ist die krankheitsbedingte Zerstörung von Zellen in einem lebenden Organismus. Dies kann das Absterben ganzer Gewebeschichten und letztlich auch von Gliedmaßen zur Folge haben.
Ursachen
Eine Nekrose entsteht immer durch eine Entzündung, hervorgerufen durch eine lokale Durchblutungsstörung (Ischämie), die zum Absterben von Gewebezellen an Extremitäten und inneren Organen führt. Auch mechanische Verschlüsse der Gefäße von außen, wie etwa ihr Abdrücken durch Wundliegen (Dekubitus) oder das Abschnüren durch einen zu engen Gipsverband verursachen Nekrose. Weitere Auslöser sind Bakteriengifte, Strahlen (Radioaktivität), Verbrennungen, Erfrierungen, Infektionen und Verletzungen. Ist eine Zelle einmal zerstört, kann sie nicht wiederhergestellt werden. Je nach Gewebeart wachsen dann andere Zellen nach oder das nekrotische Gewebe wird durch eine Narbe ersetzt.
Symptome
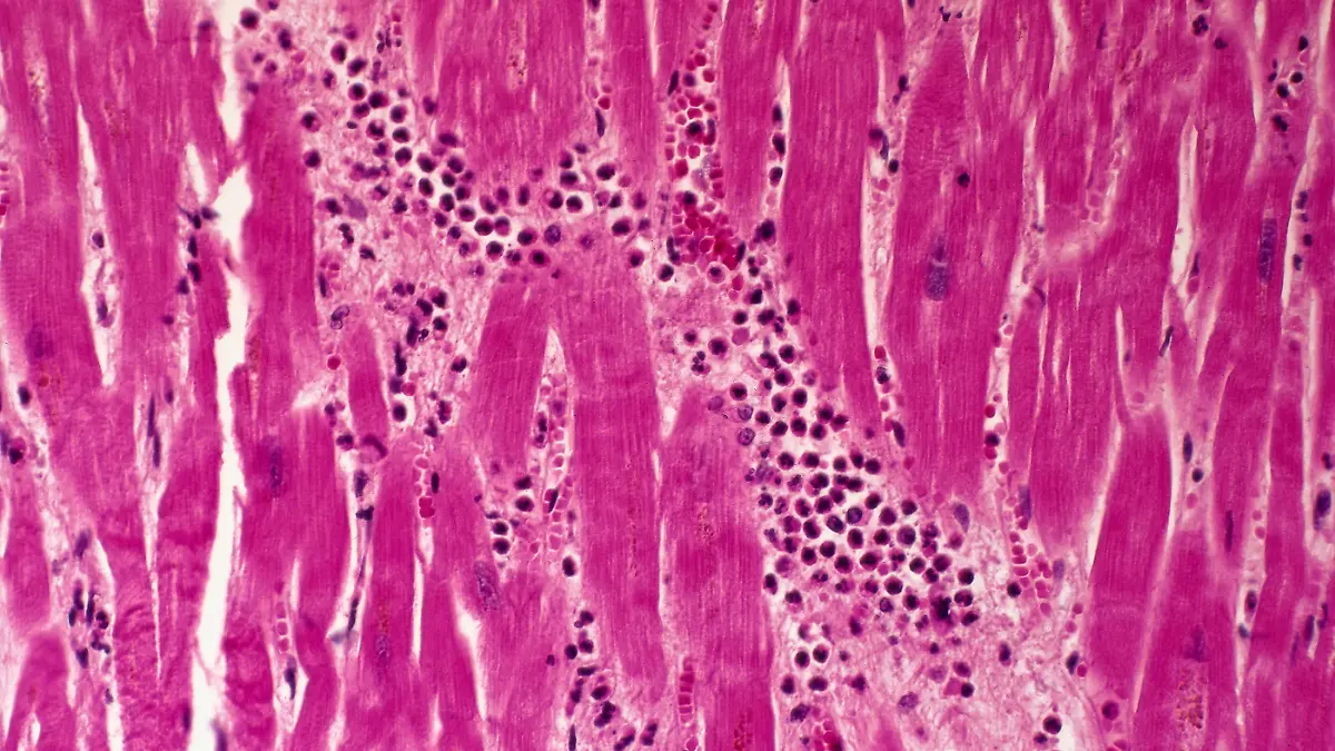
Eine Nekrose zeigt sich durch das Absterben von Gewebezellen im menschlichen Körper. Bei einer Gerinnungs- oder Koagulationsnekrose wird ein Teil eines Organs nicht mehr mit Blut versorgt. Eine Infektion mit Mikroorganismen (Tuberkuloseerregern) führt bei der fibrillo-granulären Nekrose zum Absterben der Zellen. Bei einer fibrinoiden Nekrose werden durch eine Autoimmunreaktion Fasern aus den Gefäßwänden zerstört (Gefäßentzündungen), indem sich Abwehrzellen gegen körpereigenes Gewebe richten. Eine Kolliquationsnekrose (Erweichungsnekrose) macht das Gewebe weich und flüssig, etwa im Gehirn oder bei einer Entzündung der Bauchspeicheldrüse. Bei Gefäßverschlüssen an den Beinen (‚Raucherbein‘, ‚diabetischer Fuß‘) stirbt das schlecht durchblutete Gewebe schließlich ab. Trocknet es lederartig ein, spricht man von einer ‚trockenen‘ Gangrän. Infiziert sich das Gewebe mit Krankheitserregern, dann bleibt es flüssig und riecht faulig. In diesem Fall handelt es sich um eine ‚feuchte‘ Gangrän. Eine septische Knochennekrose entsteht durch Infektionen. Bei einer aseptischen Knochennekrose sind die Knochen unzureichend mit Blut versorgt. Dies kann durch Verletzungen, Röntgenbestrahlung oder Tumore ausgelöst werden.
Anzeige:Diagnose
Eine Diagnose erfolgt über eine Untersuchung und Beurteilung des betroffenen Gewebes. Die Beschaffenheit des Nekroseherdes kann durch eine Durchblutungsuntersuchung und bildgebende Verfahren (Röntgen, Ultraschall) nachgewiesen werden.
Behandlung
Die Abheilung einer Nekrose hängt von der Gewebeart ab, häufig wirken natürliche Heilungsprozesse. Die Entfernung kleiner nekrotischer Beläge kann durch Hydrogele erfolgen, die nekrotisches Gewebe aufnehmen und Bakterien eliminieren. Um einer Nekrose richtig entgegenzuwirken, muss zunächst die Ursache, also die Durchblutungsstörung behoben werden, um eine Ausbreitung zu verhindern. Ist die Nekrose schon weit fortgeschritten, wird die Abtragung des abgestorbenen Gewebes nötig, damit sie sich nicht auf umliegende Gebiete ausbreitet. Dies geschieht durch einen chirurgischen Eingriff. Das Verabreichen von Antibiotika ist wichtig, um eine Infektion zu verhindern oder abklingen zu lassen, aber auch zur Vermeidung einer Blutvergiftung.
Vorbeugung
Meiden Sie schädliche Umwelteinflüsse wie Bakterien, Gifte und andere Schadstoffe. Auch Mangelernährung sowie Alkohol und Drogen führen häufig zu Nekrose. Bei einer Strahlentherapie können entzündungshemmende Medikamente den Ausbruch verhindern.
Wichtiger Hinweis: Dieser Artikel kann einen Besuch beim Arzt nicht ersetzen. Er enthält nur allgemeine Hinweise und darf daher keinesfalls zu einer Selbstdiagnose oder Selbstbehandlung herangezogen werden.


