Schülerin leidet unter aggressivem HirntumorZwischen Hoffnung und Endlichkeit! Krebskranker Isabella (10) bleibt noch eine letzte Chance

Zehn Jahre alt und unheilbar krank!
Ein bösartiger Hirntumor raubt Isabella (10) Stück für Stück die Kraft. Das linke Bein und den linken Arm kann sie gar nicht mehr steuern. Im Gespräch mit RTL schildert die Familie, wie sie verzweifelt darum kämpft, das einzige Medikament bezahlen zu können, das das Tumorwachstum aufhalten könnte.
Klassenlehrerin fällt auf, dass die Schrift schlechter wird
Alles fängt an mit einer Beobachtung von Isabellas Klassenlehrerin. Sie spricht die Eltern der Zehnjährigen an: Während die anderen Kinder in der dritten Klasse beim Schreiben Fortschritte machen, wird Isabellas Schrift immer unleserlicher. Zu Hause bemerken ihre Eltern Timo und Nancy Kampe, dass ihr linker Arm zittert. Als „Isi” ihrer Mutter die Milch reicht, schwappt das Glas – und niemand ahnt, dass in diesem Moment die Krankheit erstmals auch zu Hause sichtbar wird. Davor schieben es die Eltern auf Nervosität, ihnen fällt gar nicht auf, dass das Zittern nur einseitig ist.
Lese-Tipp: Um ihn an „Gott zu übergeben” – Mutter wirft Sohn (4) in See
Von der Schule in den Klinikmarathon
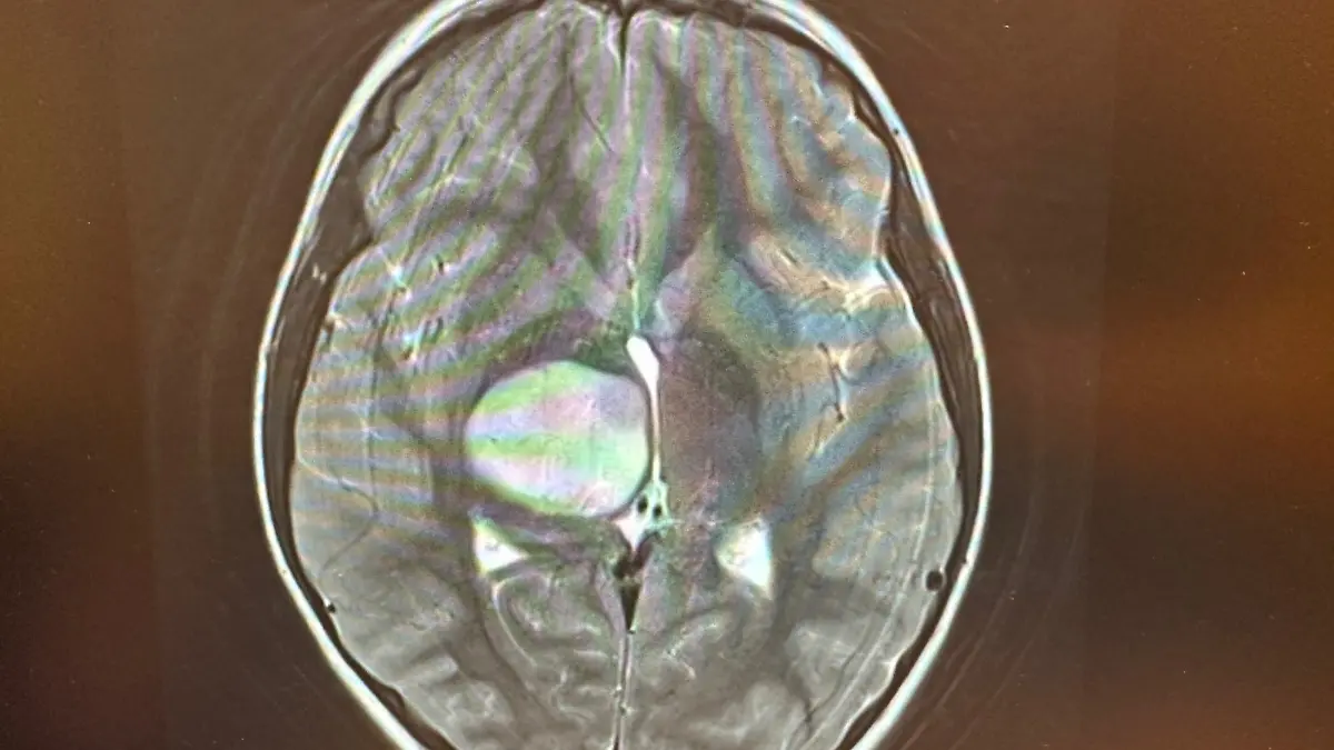
Dann geht es für Isi und ihre Eltern zum Hausarzt. Von dort geht es weiter ins MRT. Es ist der siebte März 2024, der Moment, in dem das Leben der Familie aus den Fugen gerät. Schon auf den ersten Bildern ist der Tumor sichtbar. Ihre erste OP bekommt sie am 27. März. Was bleibt, ist eine fünf Zentimeter lange Narbe am Hinterkopf und noch schlimmer: der Tumor. Ein paar Wochen später wird klar, dass dieser bösartig ist. „Dann ist für uns die Welt zusammengebrochen“, sagt Timo Kampe zu RTL.

Video-Tipp: Opa hilft Hunderten – jetzt soll seiner Enkelin geholfen werden
Ab da bestimmt der Krankenhausalltag das Leben der Zehnjährigen: Alleine im Jahr 2024 muss Isabella 33 Bestrahlungen über sich ergehen lassen, dazu kommen 66 Fahrten zur Kontrolle von Osnabrück nach Münster und jedes Mal bangen die Eltern, dass es dieses Mal besser wird. Die Behandlung: Alles andere als angenehm für ein Kind. Eine Maske wird ihr aufgezogen, 20 Minuten liegt sie fixiert auf einem Tisch. Am zwölften Juni 2024 ist das eigentliche Bestrahlungsende. Und es sieht gut aus: Bei den regelmäßigen Kontrolluntersuchungen fällt kein Wachstum auf. Doch genau ein Jahr später der erneute Schock. Innerhalb eines Monats ist der Tumor weiter gewachsen und aggressiver geworden.
Wenn ein Tumor die Motorik zerstört
Die genaue und grausame Diagnose: Diffuses Mittelliniengliom. Dieser Tumor sitzt tief im Kopf und drückt auf die Motorik. Das erklärt Isis Lähmungserscheinungen. Wenn sie isst und ihr läuft etwas auf der linken Seite runter, dann merkt sie es nicht. Den linken Arm und das linke Bein kann sie nicht steuern, sobald sie den linken Arm hebt, zittert sie enorm. Ihre Pupillen arbeiten nicht gleichmäßig schnell. Wirksame Chemotherapien gibt es nicht, eine operative Entfernung ist nicht möglich. Die einzige Therapie ist Bestrahlung – die aber bei Isi auch nicht langfristig geholfen hat. Familienvater Timo Kampe zu RTL: „Wenn ein Arzt dir in der Klinik sagt, dass die Tochter das schlimmste im Kopf hat, das irgendwie möglich ist. Da bin ich zusammengebrochen.”

Das Wochenende ist „krebsfreie Zeit”
Trotz allem bleibt Isabella ein fröhliches, herzliches Mädchen. Am glücklichsten ist sie auf dem Pferd – beim Reiten vergisst sie für kurze Zeit die Krankheit. Auch ihr kleiner Bruder Damian steht fest an ihrer Seite. Die beiden lieben sich abgöttisch, der Siebenjährige hilft ihr, bringt sie zum Lachen, schenkt ihr Halt. Für die Familie ist klar: Es geht nur zusammen. Freitag bis Sonntag ist ‚krebsfreie‘ Zone. Da wird nicht über Krebs gesprochen. Diese Tage geben der Familie Kraft, um die nächste Woche zu bestehen.
Doch zuletzt verschlechtert sich ihr Zustand spürbar. „In den letzten drei Wochen hat sie starke Kopfschmerzen und braucht heftige Schmerzmittel. Das nimmt sie sehr mit“, erzählt ihr Vater. Doch es gibt einen kleinen Hoffnungsschimmer.
Lese-Tipp: Frau denkt, sie sei einfach nur dick – dann entdecken Ärzte DAS
Spendenaktion als letzte Hoffnung
Die Familie setzt ihre ganze Hoffnung auf ein Medikament aus den USA: ONC201. Es könnte das Wachstum des Tumors aufhalten – mehr gibt es für Isabella nicht. Die körperlichen Einschränkungen, das Zittern: All das wird bleiben. Aber das Medikament könnte es zumindest auf diesem Status stoppen.
Doch das Präparat ist in Deutschland noch nicht zugelassen, und die zuständige Krankasse weigert sich laut Familie bislang, die Kosten zu übernehmen. Auf RTL-Anfrage wollte sich diese aus datenschutzrechtlichen Gründen nicht äußern. Eine Tablette kostet 300 Euro bei wöchentlicher Einnahme, sie muss lebenslang eingenommen werden.
Für Familie Kampe ist die Situation eine enorme Belastung – finanziell, körperlich und seelisch. Deshalb haben Freundinnen und Freunde eine GoFundMe-Spendenaktion ins Leben gerufen. Dadurch sollen neben den dringend benötigten Tabletten auch Hilfsmittel finanziert werden, die Isabella den Alltag erleichtern – und kleine Herzenswünsche, die ihr Kraft und Freude schenken.
































